Book Appointment
1975 Royal Avenue, Suite #1, Simi Valley, CA 93065
(805) 727-4537
Dentist in Simi Valley

Dentistry Before and After Photos

Cosmetic Dentist Simi Valley

Before

Royal Family Dental | Night Guards, Dental Bridges and Implant Dentistry

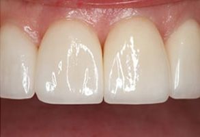
After

Royal Family Dental | Dental Bridges, Extractions and Dentures

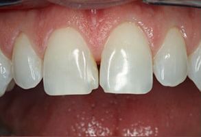
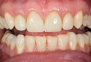
Before

Royal Family Dental | Implant Dentistry, Periodontal Treatment and Extractions

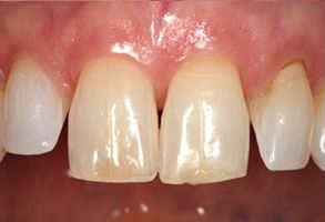
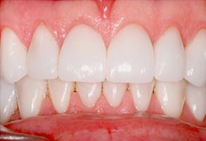
After

Royal Family Dental | Ceramic Crowns, Oral Exams and Sports Mouthguards

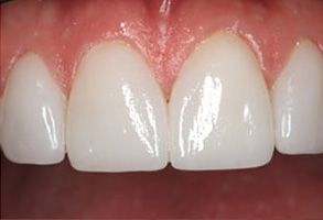
Before

Royal Family Dental | Teeth Whitening, Oral Exams and Dental Fillings

After

Royal Family Dental | Extractions, Digital Impressions and Digital Radiography

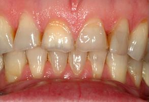
Before

Royal Family Dental | Oral Cancer Screening, Dentures and Ceramic Crowns

After

Royal Family Dental | Veneers, Implant Dentistry and Extractions

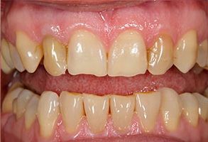
Before

Royal Family Dental | Periodontal Treatment, Oral Cancer Screening and Oral Exams

After

Royal Family Dental | Dental Bridges, Implant Dentistry and Night Guards

Before

Royal Family Dental | Oral Cancer Screening, Dental Fillings and Teeth Whitening

After

Royal Family Dental | Ceramic Crowns, Dental Cleanings and Root Canals

Before

Royal Family Dental | Teeth Whitening, Dentures and Oral Exams

After

Contact Us
Submit

Thank You!

We appreciate you taking the time to visit our site. We'll review your message and be in touch with you soon.

Continue
Dentist in Simi Valley